Índice del capítulo
La insuficiencia coronaria
Introducción
¿Qué es y cómo se manifiesta la insuficiencia coronaria?
La insuficiencia coronaria es la incapacidad de las arterias coronarias para aportar al miocardio (músculo cardiaco) toda la sangre que necesita, como consecuencia existe isquemia o falta de oxígeno en el tejido. Por eso la insuficiencia coronaria se llama también cardiopatía isquémica.
El motivo principal de la isquemia es el estrechamiento de las arterias coronarias debido a la arteriosclerosis, es decir al acumulo de grasa y calcio en la luz de la pared arterial.


Cuando se produce la isquemia aparece el dolor característico de angina de pecho o ángor, este dolor es precordial, constrictivo y desagradable, con sensación de muerte y sudoración (figura 3).

Tipos de angina
- De esfuerzo: aparece ante un esfuerzo que supone gran trabajo cardíaco.
- De reposo: aparece espontáneamente.
- Mixta: combinación de los dos anteriores.
En la cardiopatía isquémica existe un desequilibrio entre la oferta y la demanda de oxígeno y el miocardio. La demanda de oxígeno aumenta cuando aumenta el trabajo cardíaco. La oferta de oxígeno (oxígeno que llega) depende fundamentalmente del diámetro de las arterias coronarias, si se estrechan, el aporte de oxígeno es menor. En la mayoría de las anginas existe una disminución del diámetro de las coronarias por la arteriosclerosis; también la arteria pierde elasticidad. Este cuadro se desarrolla muy lentamente, motivo por el cual la angina de pecho estable es una enfermedad crónica (véase la figura 4).

La angina de reposo se piensa que se debe a un vasoespasmo, las arterias coronarias se contraen espontáneamente. El frío puede ser un factor desencadenante; por último en la angina mixta se combinan los dos factores. Si persiste la isquemia se desencadena la necrosis de los tejidos o infarto de miocardio. Suele producirse por un coágulo de sangre (trombo), que obstruye bruscamente la luz de la arteria coronaria, previamente dañada por la arteriosclerosis (véase la figura 5).


En caso de dolor de angina. ¿Qué debo hacer?
En caso de presentar dolor de angina de pecho (véase la figura 6), lo primero que debe hacer es interrumpir la actividad que está realizando. Si se encuentra en su casa, deberá sentarse o acostarse. Si está en la calle, detenerse y, si es posible sentarse. De esta forma, lo más probable es que el dolor ceda en unos minutos.

- Si usted lleva nitroglicerina, en tabletas o espray, aplíquese una dosis debajo de la lengua, siéntese o acuéstese. Si a los cinco minutos no ha cedido, póngase una segunda dosis. Si a los cinco minutos no cede, tome la tercera dosis y acuda lo antes posible al hospital.
- Es imprescindible que la nitroglicerina este siempre cerca de usted. Las pastillas deben protegerse de la luz y cambiarse cada seis meses. No espere que el dolor ceda por sí solo, puede utilizarlo tantas veces como sea necesario sin perder por ello su eficacia. Existe espray de nitroglicerina para aplicación sublingual (debajo de la lengua).
- La nitroglicerina puede provocar en ocasiones dolor de cabeza, palpitaciones o mareo, para evitarlo acuéstese tras tomarla y las molestias suelen desaparecer en pocos minutos
En el caso de que los dolores de angina de pecho sean cada vez más frecuentes, duraderos e intensos, si aparecen en reposo o se acompañan de otras molestias que no tenía, falta de respiración, náuseas y sudoración, acuda cuanto antes a su cardiólogo.
Deberá acudir al servicio de urgencias, si el dolor es intenso y dura más de quince minutos a pesar de la toma de nitroglicerina.
Si el dolor tiene las características habituales que usted conoce, y ha cedido con la nitroglicerina, espere a la próxima revisión.
Si usted observa que una determinada actividad- por ejemplo, salir de casa por la mañana, el tiempo frío, subir escaleras, relaciones sexuales o el estrés- le provocan angina de pecho debe evitarlas, o tomar previamente una dosis de nitroglicerina, siempre con la autorización de su cardiólogo.
Aunque la angina de pecho puede ser provocada por el ejercicio físico, el paciente debe seguir un Programa de ejercicios o Rehabilitación cardiaca aprobado por el cardiólogo. Es fundamental controlar los factores de riesgo coronario, entre ellos la hipertensión arterial, el tabaco, los niveles elevados de colesterol y la obesidad. La corrección de estos factores, disminuirán sus crisis de angina y mejorarán su calidad de vida.
Los médicos generalmente pueden determinar si un paciente presenta insuficiencia coronaria basándose en los síntomas que describe, su frecuencia, duración e intensidad.
Métodos diagnósticos
La siguiente es una lista de estudios que el cardiólogo podría indicar:
Radiografía de tórax
Básicamente nos informa sobre la forma y tamaño de las estructuras cardiacas, así como de la presencia de insuficiencia cardiaca.
Análisis Clínicos
La determinación de determinadas enzimas en sangre, Cretinfosfoquinasa(CKMB) y Troponina , son específicos de destrucción miocárdica.
Electrocardiograma (ECG)
Un electrocardiograma de referencia que registra la actividad eléctrica del corazón en reposo nos informara de la presencia de isquemia o angina (falta de riego sanguíneo) o de Infarto (destrucción del músculo cardiaco)

Evolución de las anomalías eléctricas del infarto de miocardio. En primer lugar se observa elevación del segmento ST, al final aparece la onda Q profunda que persiste toda la vida.
Prueba electrocardiográfica de esfuerzo
Nos indica cómo responde el corazón al ejercicio cada vez más intenso

Prueba de esfuerzo con talio
Un estudio de cardiología nuclear, que consiste en inyectar una sustancia radioactiva en la sangre, para ver como ésta fluye por las arterias. De esta forma puede determinarse si hay músculo cardiaco dañado(viable) o muerto. En personas que no puedan practicar la prueba de esfuerzo, se administran medicamentos que hacen que el corazón lata como si estuviera haciendo ejercicio

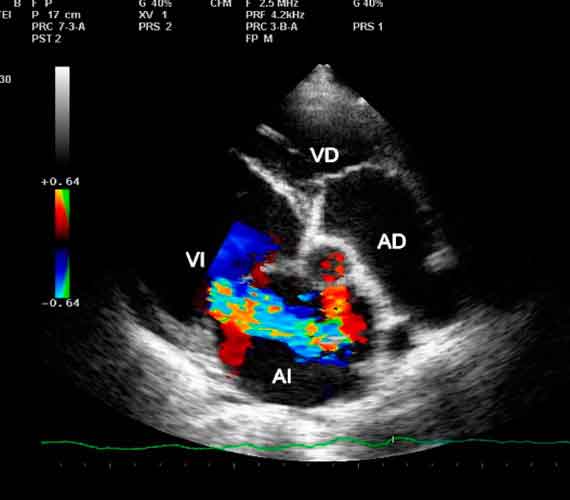
Ecocardiograma
Estudio que emplea ondas sonoras para producir una imagen del corazón que permite ver cómo funciona.

Tomografía por emisión de positrones (TEP)
Técnica que utiliza información sobre la energía de ciertos elementos del organismo para determinar que partes del músculo cardiaco están vivas y activas.
Angiografía coronaria (Coronariografía)
Estudio que se realiza en un laboratorio de cateterización cardiaca

Tras administrar un calmante para relajar al paciente se inyecta un colorante en la corriente sanguínea para producir una radiografía “animada” de la actividad del corazón y del flujo de sangre a través de las válvulas cardiacas y arterias coronarias (coronariografía). La coronariografía nos muestra cuantas obstrucciones hay y su gravedad. Este estudio nos sirve para determinar cuál sería el tratamiento más eficaz de la insuficiencia coronaria.

TAC coronario
La tomografía computarizada (TC) cardíaca utiliza un equipo especial de rayos X para crear imágenes de las arterias coronarias, para determinar si están bloqueadas o estrechadas por la acumulación de placa de ateroma (El exceso de partículas de lipoproteínas de colesterol malo (LDL) en el torrente sanguíneo, se incrusta en la pared de la arteria. Detecta con precisión las calcificaciones de las arterias coronarias y lesiones muy críticas. No tiene la misma precisión que la coronariografía pero es más cómoda para el paciente. La información obtenida puede ayudar a evaluar un riesgo elevado de ataque cardíaco.
Tratamiento médico
Tratamiento con fármacos
Los fármacos para la insuficiencia coronaria son los nitratos, los betabloqueantes y los bloqueantes de canales de calcio; y lo que hacen es aumentar la oferta de oxígeno o disminuir la demanda.
Nitratos
Producen una relajación de fibras musculares lisas: vasodilatación. Esta acción vasodilatadora es más evidente en territorio venoso, aunque si se aumenta la dosis existe también vasodilatación arterial. A la dosis terapéutica existe vasodilatación venosa y arterial. Los nitratos dilatan coronarias: aumenta el aporte de oxígeno, así cesa el dolor y aumenta la tolerancia al esfuerzo (acción profiláctica).
Nitroglicerina: es un nitrato usado en el tratamiento (parches de absorción cutánea) y en la profilaxis (antes del esfuerzo dar nitroglicerina) por vía sublingual. Sufre un primer paso hepático si se da por vía oral. Por vía sublingual es más rápido. La nitroglicerina tiene una vida media corta.
Nitrato de isosorbida: tiene una vida media más larga y se puede usar por vía oral.
Los nitratos tienen los siguientes efectos indeseables: hipotensión por la vasodilatación, que puede producir síncope, cefalea, normalmente estos efectos aparecen con las primeras dosis.
Indicaciones: En el tratamiento de la angina para cortar la crisis. Se usa nitroglicerina sublingual y se esperan 3-5 minutos. Si no cede el dolor se toma otra nitroglicerina, si no cede es aconsejable el traslado urgente. Los nitratos se alteran rápidamente, deben guardarse en lugares oscuros porque son fotosensibles.
Betabloqueantes
Reducen el trabajo cardíaco y disminuyen la demanda de oxígeno. Los más usados son el atenolol y el acebutol. Solamente son útiles en angina de esfuerzo, ya que producen una pequeña vasoconstricción y pueden agravar un espasmo coronario.
Bloqueantes de canales de calcio
Se llaman incorrectamente antagonistas del calcio. Cierran canales de calcio, bloqueando su entrada en la célula. El calcio es fundamental para la contracción muscular. Forman un grupo muy heterogéneo. Son el verapamilo, el diltiazem y el nifedipino. La acción es de vasodilatación generalizada con reducción del trabajo cardíaco. Así disminuye la demanda de oxígeno y aumenta la oferta del mismo.
Los efectos indeseables como hipotensión (por vasodilatación), que puede ser importante en el caso del nifedipino, también cefaleas, edemas, mareos, bradicardias, arritmias, hiperplasia gingival (alteraciones de las encías), etc. La presencia de placa dental es un factor desencadenante de la hiperplasia. En individuos tratados con BCC hay que extremar la higiene oral.
Indicaciones, como alternativa a nitratos y betabloqueantes en la angina de esfuerzo. En las anginas de reposo son los fármacos de elección. Si hay hipertensión e insuficiencia cardiaca está indicado el nifedipino. En caso de arritmias, el verapamilo y diltiazem. En el tratamiento de patologías cerebrales: se usan derivados de nifedipino que tienen afinidad por arterias del cerebro, nicardipino y nimodipino.
Intervenciones
Una arteria coronaria significativamente estrecha, puede precisar de un tratamiento adicional para reducir el riesgo de un ataque cardiaco

Actualmente existen dos tipos de tratamiento, las intervenciones mediante catéter (intervencionismo coronario) y la cirugía de bypass coronario.
Ambas intervenciones han demostrado ser eficaces en pacientes rigurosamente seleccionados. La elección dependerá de factores como el grado y lugar de la obstrucción, número de arterias y cantidad de músculo afectado, y de factores individuales del paciente, tales como la edad y el estado general de salud.
Intervencionismo Coronario mediante cateterismo
Angioplastia y estent
La angioplastia, es un procedimiento realizado por cardiólogos intervencionistas y que nos sirve para dilatar estrechamientos arteriales.

Utilizando un tubo largo y delgado denominado “catéter” que lleva un pequeño globo en la punta, se logra mediante el hinchado del mismo dilatar la arteria comprimiendo la placa contra la pared arterial

La realización del procedimiento y su resultado final se visualiza mediante la inyección repetida de contraste en las arterias coronarias o Coronariografía.
El procedimiento consiste en introducir un alambre delgado (catéter guía), en una arteria de la pierna, arteria femoral o del brazo generalmente la arteria radial, dirigiéndolo a la zona del estrechamiento (estenosis) arterial coronaria.
El catéter globo pasa a través del catéter guía, situándose y dilatándose en el lugar de la obstrucción Después del tratamiento se retiran ambos catéteres y se efectúa una compresión prolongada sobre la ingle, para evitar un hematoma en la arteria femoral

La estancia en el hospital y el tiempo de recuperación con este procedimiento son menores que con un bypass (Cirugía). Pero aproximadamente el 25% de los pacientes corre el riesgo de sufrir obstrucciones adicionales en la zona tratada (lo que se denomina “re-estenosis”). La re-estenosis normalmente se produce dentro de los seis meses siguientes a la realización del procedimiento.
Actualmente la angioplastia con balón se complementa siempre con la colocación de un estent.

El estent es una malla metálica de forma tubular que se implanta en la zona de la arteria obstruida. El estent montado sobre un catéter que tiene un globo en la punta, se introduce en la arteria y se coloca en el lugar del estrechamiento arterial, al inflarse el globo el estent queda libre y abierto. A continuación se retira el globo desinflado dejando el estent en su lugar. La incidencia de reestenosis con éste procedimiento es de un 10%.
Como la reestenosis es un problema que presenta el procedimiento de colocación del estent, los médicos están investigando métodos que ayuden a mejorar sus resultados. Algunos estents más modernos están recubiertos de medicamentos que reducen la posibilidad que la arteria se cierre de nuevo. Estos se denominan “estents recubiertos” o “estents liberadores de medicamentos”. Otro procedimiento de aplicación de estent se denomina braquiterapia, aplicando una dosis baja de radiación directamente al e. Se cree que la radiación puede reducir el tejido que obstruye el estent y evitar que vuelva a crecer.
Asterectomía
La aterectomía puede ser una opción para ciertos pacientes que no pueden someterse a la angioplastia con balón. El procedimiento consiste en utilizar un catéter con un eje rotatorio con cuchillas, que gira a alta velocidad, para cortar la placa de las paredes arteriales.
Ablación con láser
En la ablación con láser se utiliza un catéter que tiene un haz de fibra óptica en la punta. El láser utiliza la luz para” quemar” la placa y abrir la arteria lo suficiente como para permitir la introducción de un globo que pueda dilatarla más.
Revascularización transmiocárdica con láser (RTMP)
La revascularización transmiocárdica con láser (RTMP), se realiza mediante un catéter láser que abre pequeños orificios en el músculo cardiaco. Estos orificios se convierten en canales que permiten el paso de la sangre a las zonas del corazón donde existe una deficiencia de oxígeno. Se cree que el procedimiento puede estimular la formación de nuevos vasos sanguíneos, reduciendo el dolor de la angina de pecho.
La RTMP se utiliza actualmente sólo en pacientes que no responden a otros tratamientos, tales como los medicamentos, angioplastia o la cirugía de bypass coronario.
El intervencionismo coronario ha dado paso a un gran número de procedimientos terapéuticos endovasculares (a través de la luz de las arterias), en la actualidad se colocan estents sobre un gran número de arterias para resolver las estenosis. También existen dispositivos endovasculares que evitan que los aneurismas de aorta sigan creciendo y puedan romperse
Cirugía de bypass coronario
La cirugía de bypass de las arterias coronarias comenzó a practicarse a finales de los años 50. Es un procedimiento que se realiza para tratar ciertos tipos de obstrucciones de las arterias coronarias. En esta técnica, al contrario de lo que ocurre en la angioplastia, el cirujano no actúa sobre la lesión coronaria, sino que se restablece la circulación coronaria practicando un puente distal a la obstrucción

El procedimiento permite al cirujano acceder directamente al corazón y a las arterias enfermas mediante una incisión en la línea media tórax (esternotomía).
La finalidad de esta cirugía es aumentar la circulación y nutrición del músculo cardiaco. En la cirugía de bypass, se toman arterias o venas de otras partes del cuerpo para crear los injertos que llevaran el flujo sanguíneo al músculo cardiaco isquémico. La vena más utilizada para el injerto coronario, la vena safena, se extrae de la pierna. La arteria más utilizada generalmente para injerto de bypass es la arteria mamaria interna (AMI) que se encuentra en el tórax
A veces se utiliza la arteria radial, que se encuentra en el brazo. Las arterias o venas se conectan directamente a las arterias coronarias en la superficie del corazón, más allá de las obstrucciones coronarias formando un injerto.
Esto permite a la sangre circular a través de los injertos y desviarse (bypass), salvando las obstrucciones arteriales.
El objetivo de la cirugía de bypass es aumentar el flujo sanguíneo arterial coronario, para:
- Aliviar la angina.
- Mejorar la capacidad de bombeo del músculo cardiaco.
- Prevenir ataques cardiacos (Infarto de miocardio).
- Prolongar la vida.
¿Qué es la cirugía de bypass tradicional?
Con la cirugía de bypass “tradicional”, los cirujanos utilizan la asistencia de una máquina cardiopulmonar, junto con una medicación que contiene potasio para detener el corazón y poder practicar el bypass. La máquina cardiopulmonar suministra el oxígeno y la sangre al organismo, mientras el cirujano repara el corazón sin movimiento. A esta máquina se le denomina “bomba”, máquina corazón-pulmón o más técnicamente sistema de circulación extracorpórea (CEC)

¿Qué es la cirugía de bypass a corazón latiente?
Se practica el bypass mientras el corazón continúa latiendo. En otras palabras, la operación se realizará “sin bomba” de circulación extracorpórea. El cirujano utiliza instrumentos estabilizadores para estabilizar una determinada zona del corazón, donde se vaya a efectuar el bypass. Este se efectúa mientras el corazón continúa latiendo, permitiendo un flujo sanguíneo normal.
Ventajas e inconvenientes de cada una de las técnicas
- La cirugía con el corazón en movimiento evita la máquina de perfusión (circulación artificial) disminuyendo complicaciones (neurológicas, insuficiencia renal o trastornos de la coagulación de la sangre).
- La cirugía a corazón latiente, ofrece una recuperación y alta hospitalaria más rápidas, pero para obtener buenos resultados mediante esta técnica es imprescindible que la calidad (calibre y luz de la arteria) de las arterias coronarais sea aceptable.
- En arterias coronarias de pequeño calibre, situadas en lugares de difícil acceso (sumergidas en músculo cardiaco) o con paredes muy enfermas (calcio en las mismas), la precisión es mayor con el corazón parado.
Para evitar que los injertos coronarios se obstruyan es necesario:
- Tomar fármacos antiagregantes, tipo aspirina.
- No fumar.
- Controlar la tensión arterial y el colesterol.
- Seguir un régimen de vida y alimentación correcto. (DIETA).
- Efectuar actividad física regular. Rehabilitación cardiaca.
Infarto agudo de miocardio
El infarto de miocardio supone la destrucción de una parte del musculo cardiaco por falta de irrigación sanguínea (véanse las figuras 21 y 22). El tratamiento del infarto agudo de miocardio debe realizarse en el hospital durante los primeros días con el fin de asegurar el tratamiento y el control inmediato de las posibles complicaciones. Cuanto más pronto se llegue al centro hospitalario, mayores son las posibilidades de superar el infarto.
En la actualidad uno de los tratamientos más efectivos se basa en conseguir la desobstrucción precoz de la arteria coronaria mediante medicamentos que pueden disolver el coágulo de sangre (agentes trombolíticos) o mecánicamente mediante una angioplastia con stent de urgencia.
Estos procedimientos sólo son eficaces si se administran dentro de las primeras horas del infarto.


Unidad Coronaria
El infarto de miocardio y en ocasiones, la angina de pecho debe tratarse en un área especial del hospital, llamada unidad coronaria con el fin de seguir un control estricto y tratar y prevenir las complicaciones
Los cuidados en la unidad coronaria incluyen, reposo absoluto en cama, monitorización electrocardiográfica, toma de tensión arterial, temperatura y colocación de un catéter venoso.
Además se administran medicamentos por vía endovenosa como la nitroglicerina, heparina (anticoagulante), sedantes etc.., y otros por vía oral como los antiagregantes plaquetarios (aspirina) y betabloqueantes. Un ataque cardiaco agudo no complicado, exige vigilancia intensiva por un periodo de dos a cinco días. Una vez normalizado el ritmo cardiaco, la tensión arterial y los análisis, el paciente puede trasladarse a sala de cardiología.
Pasados los primeros días en que el reposo absoluto es obligado, debe iniciarse una actividad física progresiva según las indicaciones del personal sanitario que le atienda
Bibliografía y enlaces de interés
- Fundación Española del Corazón. https://fundaciondelcorazon.com/informacion-para-pacientes/enfermedades-cardiovasculares.html
- ELSEVIER. http://www.elsevier.es/es-revista-offarm-4-articulo-angina-pecho-tratamiento-farmacologico-13130884
- Clínica Mayo.
https://www.mayoclinic.org/es-es/search/search-results?q=enfermedad%20coronaria
https://www.mayoclinic.org/es-es/diseases-conditions/heart-disease/diagnosis-treatment/drc-20353124
- Angina de pecho e infarto agudo de miocardio. ¿Cuál es el tratamiento?
www.angelfire.com. http://www.angelfire.com/pe/amilcar2000/ANGINA.htm
Infarto de miocardio. http://www.angelfire.com/pe/amilcar2000/IMA.htm
- EL MUNDO SALUD.Com. Especial corazón. Tratamiento.
https://www.elmundo.es/elmundosalud/especiales/2006/12/especial_corazon/enfermedades/infarto_miocardio.html
https://www.elmundo.es/elmundosalud/fichas/artescle.html?id_enfermedad=36
- MedlinePlus. Enciclopedia Médica.
https://medlineplus.gov/spanish/ency/article/007115.htm
Obtener más información
- Introducción
- Los niveles de colesterol
- Plan de prevención contra el aumento del colesterol
- Recetas para reducir el colesterol
- Recetas para evitar el aumento de triglicéridos
- Alimentación en niños con hiperlipemia
- Colesterol alto e hipertensión
- Cómo reducir el Colesterol malo LDL y aumentar el bueno HDL
- Controlar los restantes factores de riesgo
- Medicamentos para bajar el colesterol
- Le puede interesar
- También le puede interesar
- Bibliografía y enlaces de interés
- Introducción
- Control y prevención
- Prescripción del ejercicio
- Concepto de Rehabilitación Cardiovascular (RHC) integral supervisada
- Consideraciones finales
- Le puede interesar
- INTRODUCCIÓN
- LA PIRÁMIDE ALIMENTARIA
- RECOMENDACIONES DIETÉTICAS PARA UNA ALIMENTACIÓN EQUILIBRADA
- EQUILIBRIO ENERGÉTICO
- Las calorías y el gasto energético
- Los alimentos y los nutrientes
- Principales nutrientes, sus características y alimentos que los contienen
- El gasto energético
- ¿Cómo calcular la tasa metabólica basal?
- ¿Cuántas calorías necesito al día?
- La clave: el equilibrio de los alimentos
- Cómo mantener un equilibrio energético
- Reduzca el consumo de alimentos ricos en colesterol
- Reduzca el consumo de alimentos y bebidas con azúcar añadido
- Prepare alimentos con poca o sin sal
- DIETA MEDITERRÁNEA
- BIBLIOGRAFÍA Y ENLACES DE INTERÉS